Pigmentasyon (lekelenme)
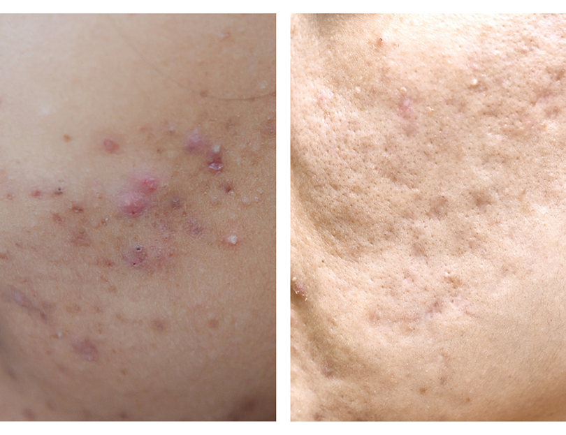
Skar (sivilce izi)
Tamamen kaybolmaları zaman alan bu durumların tedavisinde kullanılan ajanlardan bahsedelim.
Pigmentasyon Tedavisi
-Dikkatli güneş koruması
-Azelaik asit (Hem pigmentasyonu hem yeni sivilce oluşumunu azaltır)
-AHA ( Glikolik asit, laktik asit, mandelik asit…) (pigmentasyonun solmasına yardımcı)
-Retinoid (Pigmentasyonu, yeni sivilce oluşumu azaltır, Kollajen üretimine katkısı ile hafif akne skarlarının giderilmesi )
-Hidrokinon ve arbutin (pigmentasyon tedavisi- riskleri nedeniyle mutlaka dermatolog gözetiminde kullanılmalı)
-C vitamini içeren serumlar ( koyu renge neden olan melanin üretimini azaltır, kollajen üretimini artırır, iyi bir antioksidandır)
-Niasinamid
-BBlazer
-Leke mezoterapisi
Akne izi (Skar) tedavisi
Skarlar, kolajen sentezindeki dengesizliklerden meydana gelir. Skar oluşumunu önlemenin en güzel yolu akne tedavisine erken başlamaktır.
Atrofik skarlarda cilt yüzeyini eşitlemek için kolajen üretimini uyaran tedavi yöntemleri tercih edilir.
Atrofik Akne İzleri ve Tedavi Seçenekleri
Ice-pick skar ( çivi ile delinmiş tarzda)
Rolling skar ( geniş çökme tarzında- kenarları keskin olmayan)
Boxed skar (geniş çökme tarzında- keskin kenarlı)
Tedavi seçenekleri
Yüzeyel hafif skarlarda topikal retinoidler
Yüzeyel kimyasal peeling
Mikroiğneleme ile birlikte PRP/ mezoterapi
Lazer tedavileri
Kolajen aşısı
Subsizyon ve dolgu uygulaması: atrofik skarlar, derinin üst tabakasının derinin alt tabakasındaki fibröz bantlar tarafından çekilmesiyle oluşur. Bu bantların cerrahi olarak kesilmesi ile üst tabaka serbestleşir ve alttan dolgu uygulaması yapılarak çökme giderilir.
Hipertrofik Akne İzlerinde Tedavi Seçenekleri (Hipertrofik skar) / Deriden kabarık
Kriyoterapi
Lazer tedavileri
İntralezyonel steroid
Tüm deri hastalıklarında olduğu gibi akne skarlarında da tedavi yöntemi kişiye özel olup Dermatoloji uzmanı tarafından değerlendirilmesi gereklidir.


